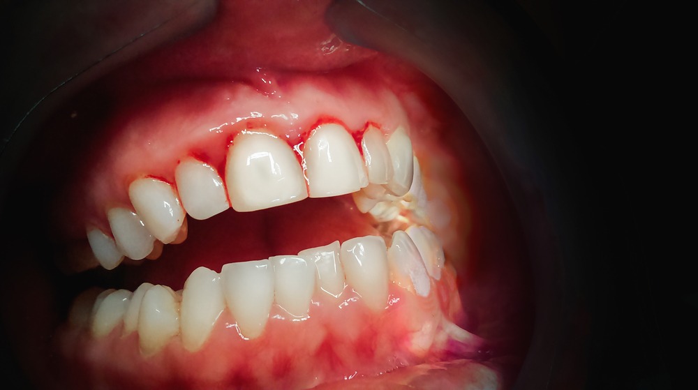
Gum health is essential for a good oral hygiene. When your gums are inflamed, they become painful and bleed easily. At Rela Hospital, the gum treatment offered are…
- ✧ Flap surgery and curettage- a procedure done for severe gum and bone loss problems where gums are reflected and bone and roots underneath the gums are cleaned and polished.
- ✧ Gingivectomy- A procedure done for overgrowth or swelling of the gums.

